사과나무 치과병원의 충치 치료를 직접 경험해 보세요.
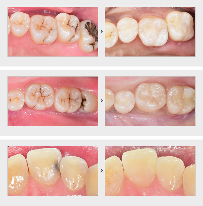
충치로 인하여 손상된 치아의 충치부위만 정교하게 제거하고 치아의 색과 가장
흡사한 레진이라는 재료를 이용하여
충치를 제거한 부위를 메우는 방법으로 1회 내원으로 치료가 가능합니다.
1. 본인이 가지고 있는 치아색과 매우 비슷하여 심미적입니다.
2. 접착력을 이용한 치료이기 때문에 충치부위만 제거하면 됩니다.
3. 1회 내원으로 치료가 가능합니다.
. 치아의 옆면이 패였을 때, 간단히 치료하여 시린이를 예방할 수 있습니다.
5. 앞니부위 충치가 있을 때,
앞니쪽 치아와 치아사이가 벌어진 경우 간단히 메울 수 있습니다.
저희 의원은 환자의 동의를 얻은 사진만 기재됩니다.

레진이라는 재료를 이용하여 압력과 광선, 열처리의 독특한 조합으로 만들어진
재료로 레진의 약점인 강도문제를 보강한 종류입니다.
충치의 범위가 크거나 심미성이 중시되는 부분의 치아에 많이 사용합니다.
1. 본인이 가지고 있는 치아색과 매우 비슷하여 심미적입니다.
2. 비교적 충치부위가 넓은 부위에도 치료 가능합니다.
3. 힘을 많이 받는 어금니 부위에도 적절한 진단 후 치료 가능 합니다.
4. 2회 정도 내원으로 치료가 마무리 될 수 있습니다.
5. 충치제거 후 모양에 맞게 본을 뜬 후 일주일 정도 후에
내원하여 제작된 레진인레이를 접착하게 됩니다.
저희 의원은 환자의 동의를 얻은 사진만 기재됩니다.

힘을 많이 받는 어금니 부위나 충치로 인해
치아의 많은 부위가 손상되었을 경우, 치아 인접면이 썩었을 경우
금을 이용하여 치아의 원형과 똑같은 모양으로 만들어
치아의 원래의 기능과 형태를 회복시켜 주는 치료입니다.
1. 치아와 가장 유사한 강도를 가지고 있어 단단합니다.
2. 인체에 가장 무해하며, 오랜 시간이 지나도 침이나
기타 물질에 색이 변하거나 부식되지 않습니다.
3. 기존의 치아 모양을 완벽하게 재현 할 수 있습니다.
4. 2회 정도 내원으로 치료가 마무리 될 수 있습니다.
5. 충치제거 후 모양에 맞게 뜬 후 일주일 정도 후에
내원하여 제작된 골드인레이를 접착하게 됩니다.
저희 의원은 환자의 동의를 얻은 사진만 기재됩니다.
