사과나무 치과병원의 심미 치료를 직접 경험해 보세요.
미백종류와 방법
하루에 2~3시간 정도 착용하게 되며 잠을 잘 때 착용하고 주무셔도 됩니다.
그렇게 날마다 2~3시간 정도씩 한 달 정도 진행하시게 되며
진행하시는 중간 중간에 병원에 오셔서 진행상황을 체크 받으시면 더욱 좋습니다.
스스로 집에서 진행하는 방법인 만큼
미백제는 조금 더 안전한 낮은 농도로 드리게 됩니다. 
틀에 미백제를 너무 과량으로 담은 경우 틀 밖으로
미백제가 넘쳐 나와 잇몸에 접촉되면 쓰라리거나 아플 수 있으므로 과량의 미백제가 있는지 확인하고, 있다면 면봉으로 닦아주시는 것이 좋습니다.
또한 평소에 턱관절이 안 좋거나 이갈이 습관이 있는 분들은 미백틀로 인해 턱관절이 좀 더 불편해 질 수 있습니다.
이런 경우 윗니를 먼저 진행하고 그 다음에 아랫니를 진행하는 방법으로 미백틀로 인한 부담을 줄여주시는 것이 좋습니다.
식품의약품안전청으로부터 치아미백치료 전문의약품 허가를 받은 제품을
사용하며 시술시간은 대략 1시간 정도로 우선 치아에 골고루 제품 젤을 바른 후 특수 광선을 이용하여 시술하게 됩니다.
열이 다소 발생하지만 빛이 강하지 않고, 자외선도 없어
피부와 치아에 손상을 주지는 않습니다. 
넘어졌거나, 단단한 물체에 부딪혀 치아가 충격을 받게 되는 경우 치아의 생활력에 손상을 입게 되어 색이 점점 어둡게 변하는 경우가 있습니다.
이런 경우 갈색, 검은색 같은 매우 어두운 색으로 변하게 되어 심미적으로 큰 고민이 됩니다.
이렇게 충격에 의해 생활력을 잃은 치아의 경우 신경치료를 받게 되며 치아 내부의 공간에 미백약제를 채워 넣어 내부로부터 미백이 되도록 하는 것이 실활치 미백입니다.
약제를 넣고 주기적으로 검진을 받으며 적절한 밝기가 됐을 때 미백을 완료하게 됩니다.

치아표면을 매끄럽게 연마함으로써 도드라지게 보이는 무늬를 연하게 하고 최대한 제거합니다.
깊지 않은 무늬를 제거하는데 효과적이며 부위가 넓고 깊은 경우에는 연마로는 해결이 어렵습니다.
그 경우에는 적절한 수복치료를 받으시는 것이 좋습니다.

치아 색이 아주 어둡거나, 미백으로 쉽게 개선되지 않는 줄무늬 같은 특징이 있는 경우
또 넓은 부위의 충치가 있어 수복치료까지 필요한 경우 미백 치료 대신 라미네이트와 같은 보철 치료를 권하기도 합니다.
치아 색의 개선을 위해 치아미백을 받아야 할지, 보철치료를 해야 할 지는 전문가와 충분히 상담한 후에 결정하시는 것이 좋습니다.

보철물이나 수복물은 미백에 의해 색이 변화되지 않으며 오직 자연치만이 미백제에 반응합니다.
따라서 앞니에 어두운 색의 보철물이 있는 경우 미백 후에 밝은 색조에 맞춰 새롭게 제작해야할
상황이 발생하므로 보철치료가 동반되는 경우 전문가와 함께 치료계획을 잡으시는 것이 좋습니다.

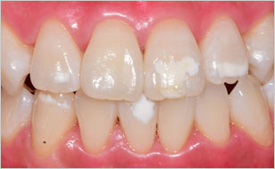
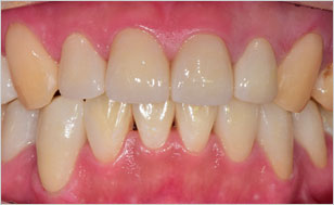
하얀반점(white spot), 줄무늬 등은 미백치료만으로는 없어지지 않습니다.
하얀 반점은 미백 후에 자연스럽게 어우러져 눈에 띄지 않게 될 수도 있지만, 더 도드라져 보일 수도 있습니다.
물론 미백 직후에 이런 현상은 더 심하게 느껴지며 시간이 지날수록 좀 더 자연스럽습니다.
하얀 반점 뿐 아니라 치아에 가로 줄무늬가 있는 경우에도 마찬가지입니다. 줄무늬의 색은 좀 연해질 수 있지만 줄무늬 자체가 사라지기는 어렵습니다.
송곳니는 다른 치아에 비해 두껍고 교합력을 많이 받기 때문에 대부분 다른 치아에 비해 색이 어둡습니다. 물론 송곳니만 미백을 하는 것이 불가능한 것은 아니나,
보다 자연스럽고 조화로운 밝기의 미소를 갖기 위해서는 보이는 부분의 모든 치아에 미백을 진행하시기를 추천합니다.