사과나무 치과병원의 충치 치료를 직접 경험해 보세요.
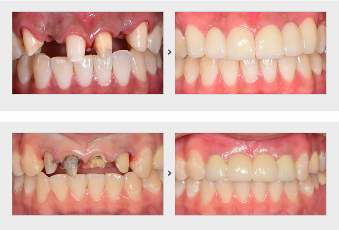
충치나 잇몸질환으로 치아가 상실된 경우 양 옆의 치아를 이용해 다리처럼 연결하여 치아의 기능을 회복시켜주는 방법입니다.
1. 임플란트 보다 치료기간이 짧습니다.
2. 최소2번의 내원으로 치료 할 수 있습니다.
3. 제일 뒤의 치아가 상실된 경우 치료가 어렵습니다.
4. 씹는 힘이 자연치아나 임플란트 보다 약할 수 있습니다.
5. 연결한 치아 중 한 개의 치아에 문제가 생길 경우 연결된 치아 전체가 문제가 생길 수 있습니다.

저희 의원은 환자의 동의를 얻은 사진만 기재됩니다.

상실 부위에 임플란트를 심는 치료방법
| 임플란트 | 브릿지 | 틀니 | |
|---|---|---|---|
| 이미지 | ![]() | ![]() | ![]() |
| 시술방법 | 독립적인 인공치아뿌리를 뼈안에 삽입하는 방법입니다. | 양쪽의 치아를 깎고 세개를 한덩어리로 만들어 빠진 부분을 인공치아로 메우는 방법입니다. | 잇몸에 본을 뜬 후 정형화 된 치아와 치열의 형태로 만드는 방법입니다. |
| 치아손상 | 주변치아의 손상이 없습니다. | 건강한 인접치아를 갈아내므로 손상을 받게 됩니다. | 점진적으로 잇몸뼈의 흡수가 진행 됩니다. |
| 저작력 | 턱뼈를 건강한 상태로 유지, 자연치아와 거의 비슷한 저작력을 발휘합니다. . | 치근이 없어 치아 주위에 골손실이 진행, 씹는 힘이 약합니다. | 질기거나 단단한 음식을 먹기가 어렵습니다. |
| 치료기간 | 3개월에서 길게는 6개월 정도 소요됩니다. | 치료기간이 짧습니다. | 치료기간이 짧습니다. |
| 수명 | 반영구적 수명을 갖고 있습니다. | 5~10년 주기로 교체해야 합니다. | 3~4년 주기로 수리 및 교체해야 합니다. |
| 치료비용 | 초기비용이 비싸지만 수명대비 경제적입니다. | 비교적 저렴한 초기 치료비용이 듭니다. | 임플란트에 비하면 저렴하지만 교체비용이 추가로 들고 사용시 불편함을 환산하기 어렵습니다. |