사과나무 치과병원의 심미 치료를 직접 경험해 보세요.
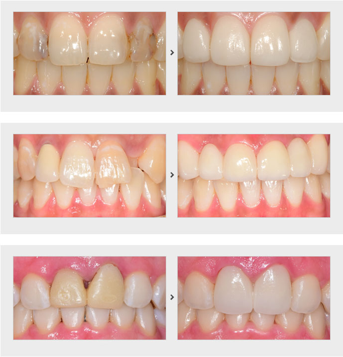
치아를 삭제하고 세라믹 재질의 보철물을 씌우는 치료 방법입니다.
보철물의 안쪽도 금속이나 금이 아닌 세라믹을 사용하기에
자연치아와 같이 투명하고 자연스럽습니다.
1. 시술 기간이 짧습니다. (평균 7일 이내 완성)
2. 통증이 거의 없고 일반 교정처럼 장치를 붙이지 않아서 편안합니다.
3. 이를 뽑거나 치아뿌리를 움직이지 않으므로, 잇몸에 무리가 없어 좋습니다.
4. 강도가 튼튼합니다. 그렇지만 큰 충격이 가해질 경우 파절될 수 있으므로 딱딱한 음식은 피하시는 것이 좋습니다.
5. 겉과 안쪽 모두 세라믹 재질로 만들기 때문에 자연치아와 아주 유사합니다.
6. 교정을 하기 어려운 경우에 적합하며 비용과 시간이 보다 경제적입니다.
7. 치료가 어려운 경우에는 교정치료가 필요할 수 있습니다. 
1. 치아부위가 넓어 라미네이트로 처리가 어려운 경우
2. 토끼이빨처럼 앞니가 클 경우
3. 튀어나온 앞니를 단기간에 안쪽으로 넣을 경우
4. 변색이 심하거나 차아 사이 공간이 큰 경우
5. 앞니가 파절된 경우
6. 충치가 심한 경우
7. 교정으로 해결할 수 없는 앞니
8. 교정치료 할 시간이 부족한 경우 
저희 의원은 환자의 동의를 얻은 사진만 기재됩니다.